Dentist Name
Sex of Patient
Age of Patient
Implanting time
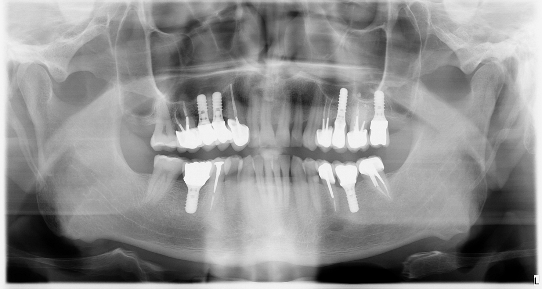
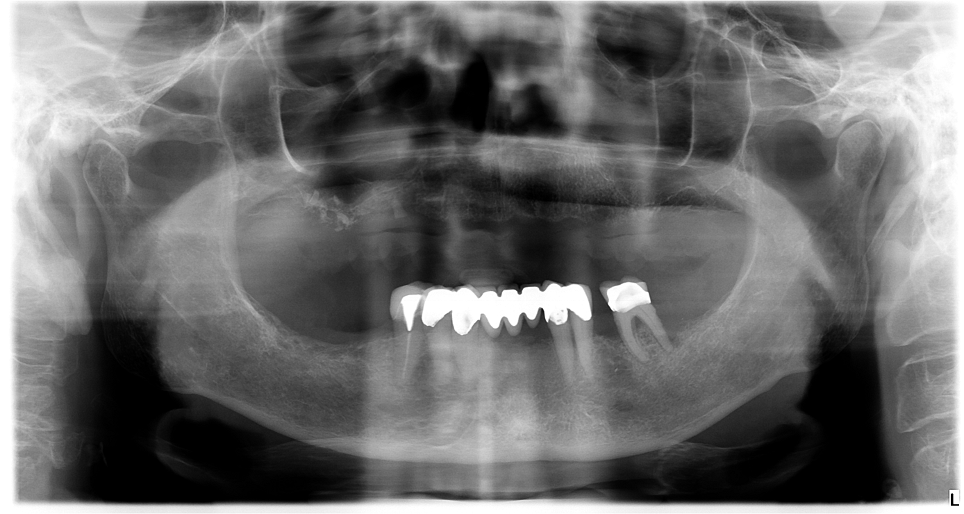
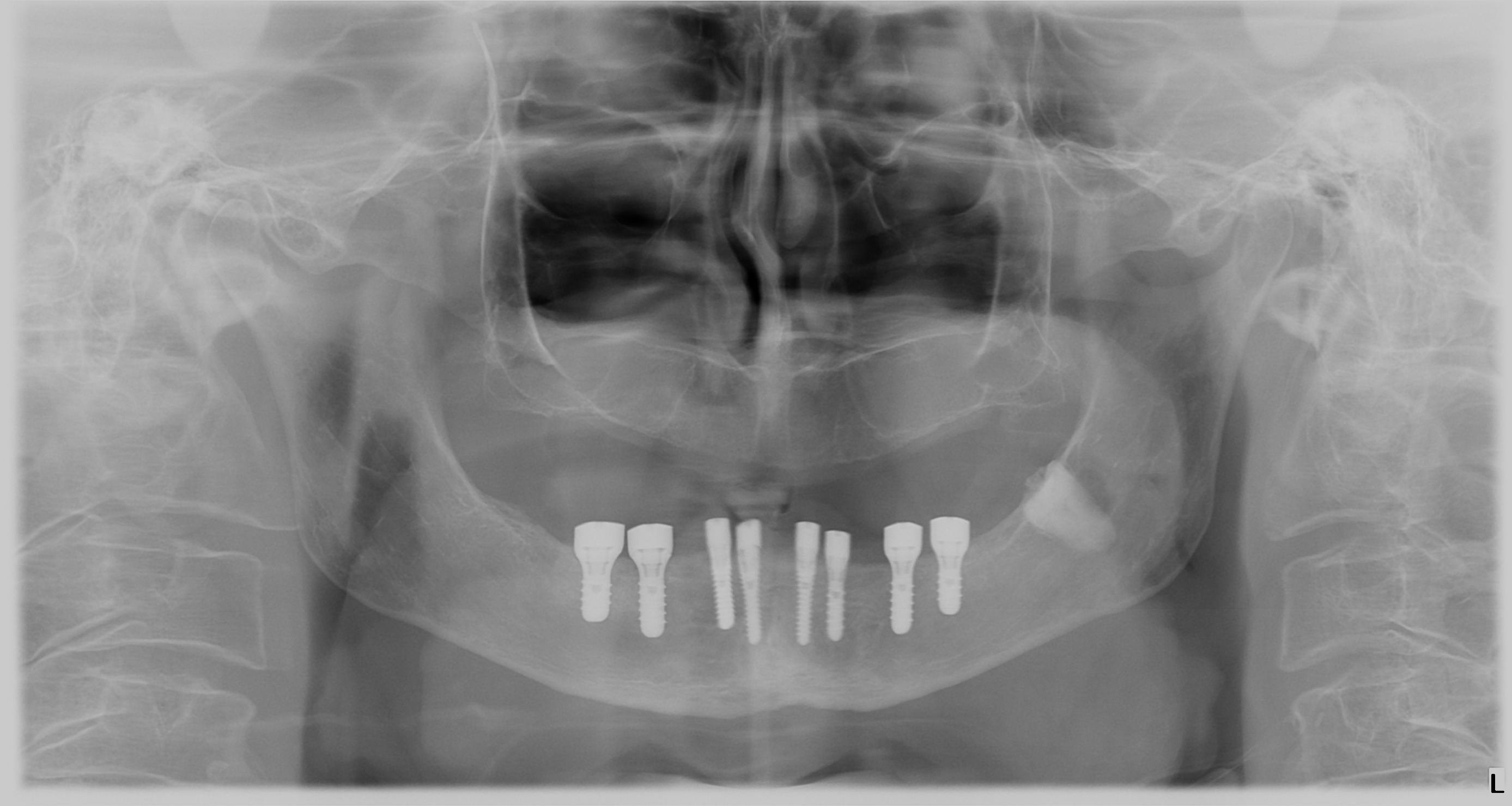
Before implanting (X-ray Photos)
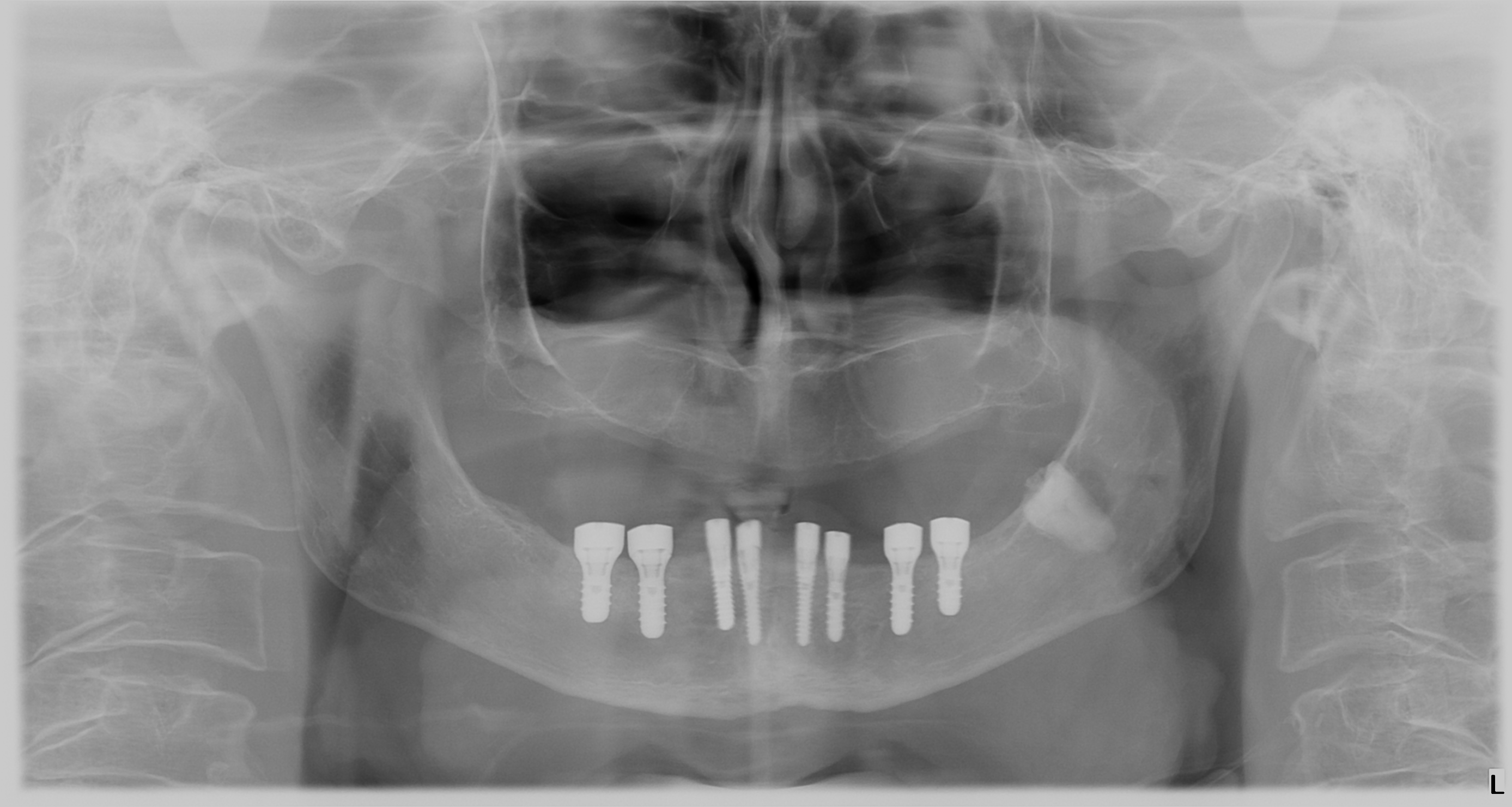
After implanting (X-ray Photos)
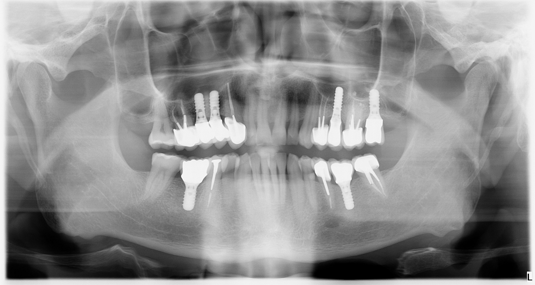
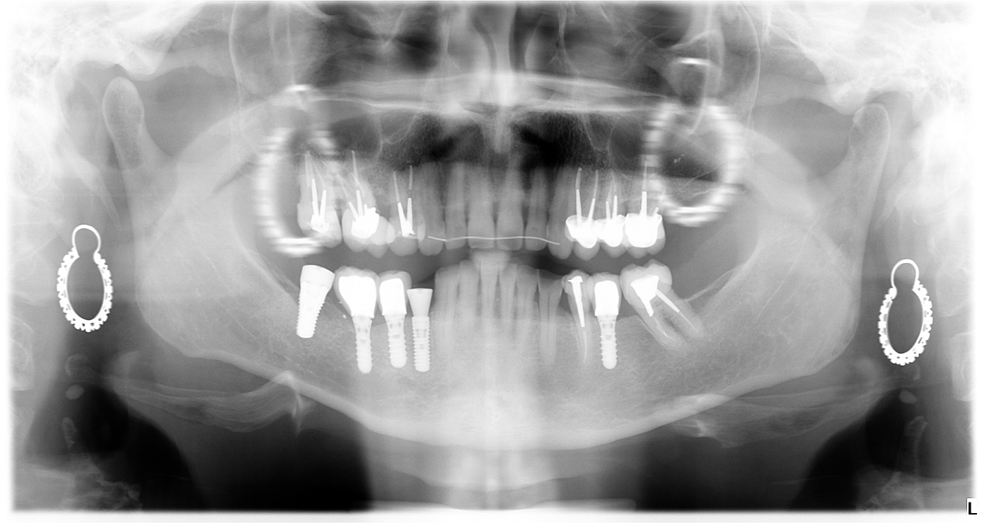
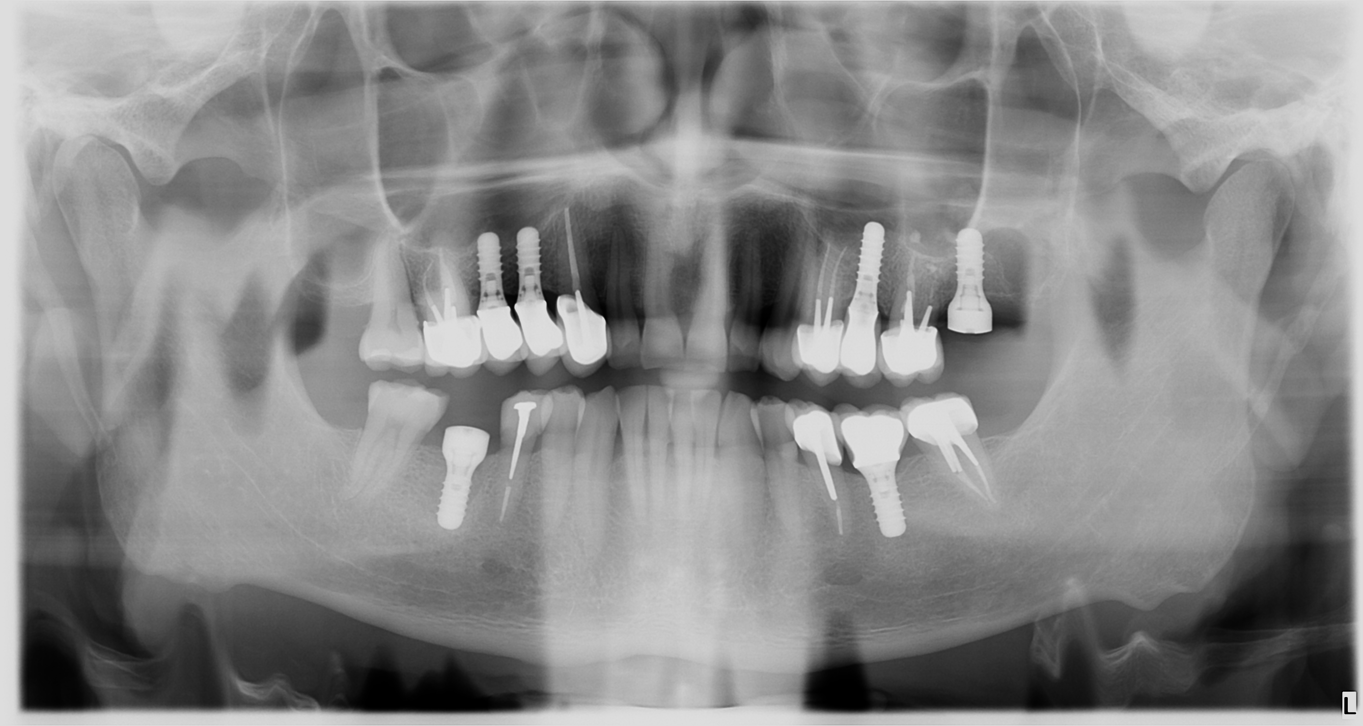
After Crown (X-ray Photos)
Dr.T V
Female
72
Apr. 2020
Dr.T V
Female
72
Apr. 2020
Dr.T V
Female
60
Feb. 2020
Dr.T V
Male
37
Feb. 2020
Dr.M Z
Male
71
May. 2020
Dr.M Z
Female
65
May. 2020
Dr.M Z
Female
60
Dec. 2019
Dr.M Z
Female
75
Dec. 2019
«
3
4
5
6
7
8
9
10
11
12
»