Dentist Name
Sex of Patient
Age of Patient
Implanting time
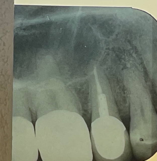
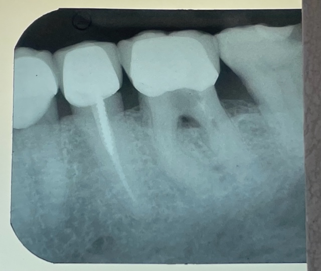
Before implanting (X-ray Photos)
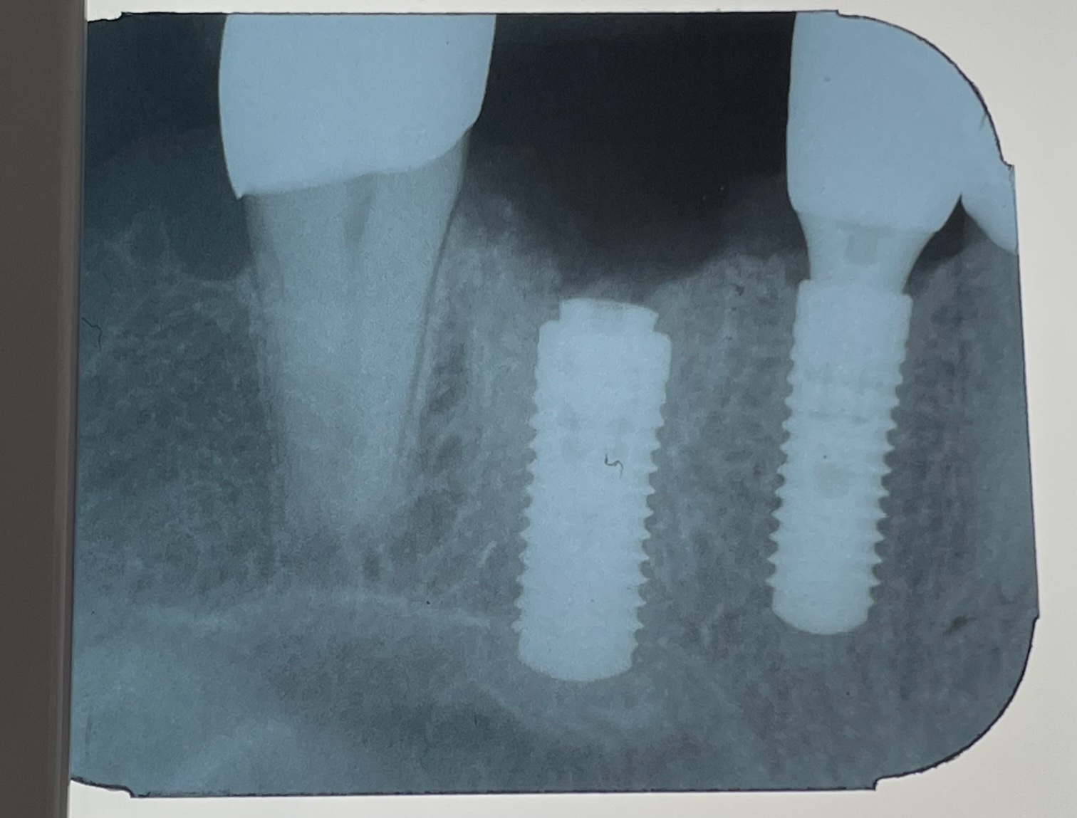
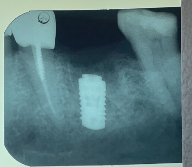
After implanting (X-ray Photos)
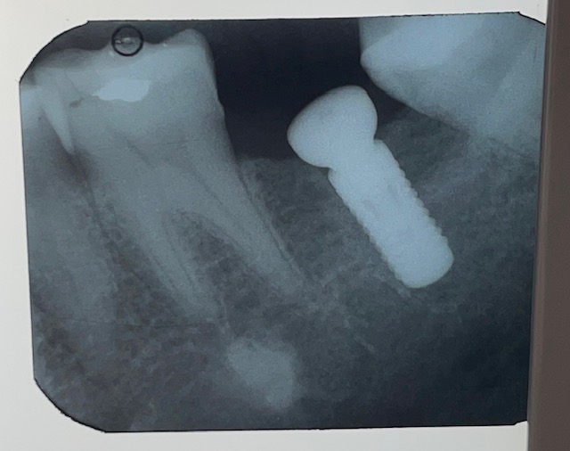
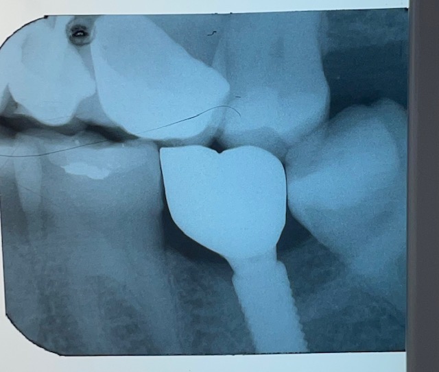
After Crown (X-ray Photos)
Dr.IY
Female
51
Jul. 2022
Dr.IY
Female
85
Sep. 2021
Dr.IY
Female
63
May. 2021
Dr.IY
Female
61
Dec. 2014
Dr.IY
Female
61
Jul. 2020
Dr.IY
Male
68
Jul. 2020
Dr.IY
Male
67
Feb. 2020
Dr.IY
Female
46
Dec. 2020
«
1
2
3
4
5
6
7
8
9
10
»