Dentist Name
Sex of Patient
Age of Patient
Implanting time
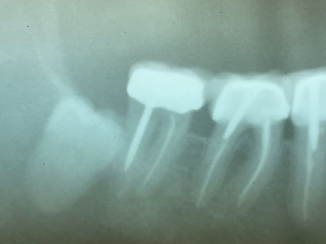
Before implanting (X-ray Photos)
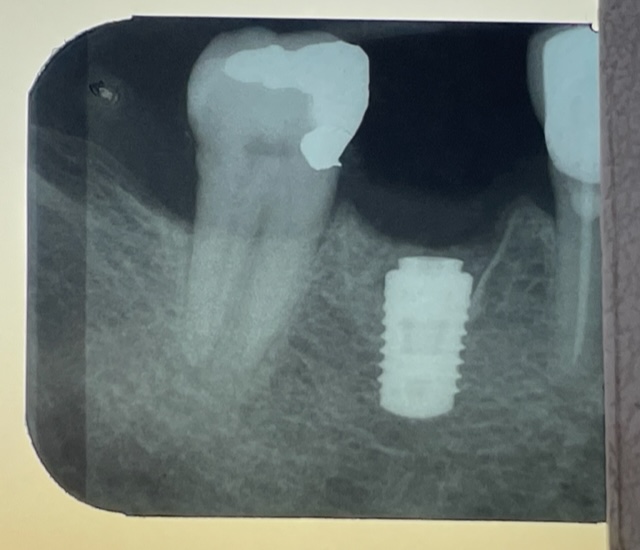
After implanting (X-ray Photos)
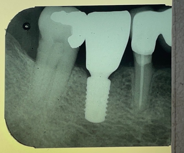
After Crown (X-ray Photos)
Dr.IY
Female
71
Nov. 2022
Dr.IY
Female
71
Oct. 2023
Dr.IY
Female
53
Feb. 2023
Dr.IY
Male
61
May. 2023
Dr.IY
Female
73
Feb. 2022
Dr.IY
Female
73
Mar. 2022
Dr.IY
Male
44
Sep. 2021
Dr.IY
Female
62
Jun. 2018
«
1
2
3
4
5
6
7
8
9
10
»