Dentist Name
Sex of Patient
Age of Patient
Implanting time
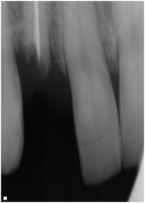
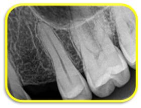
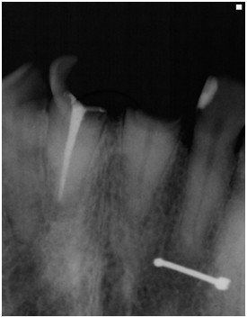
Before implanting (X-ray Photos)
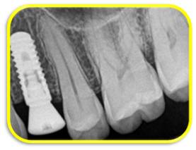
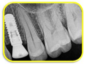
After implanting (X-ray Photos)
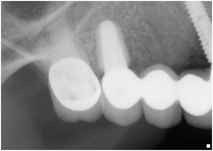
After Crown (X-ray Photos)
Dr.D
Female
42
May. 2016
Dr.D
Male
55
Agu. 2016
Dr.D
Female
43
Jan. 2017
Dr.T
Male
60
Dec. 2017
Dr.T
Female
55
Dec. 2017
Dr.T
Male
50
Nov. 2017
Dr.T
Male
41
Oct. 2017
Dr.T
Male
59
Nov. 2017
«
7
8
9
10
11
12
13
14
15
»