Dentist Name
Sex of Patient
Age of Patient
Implanting time
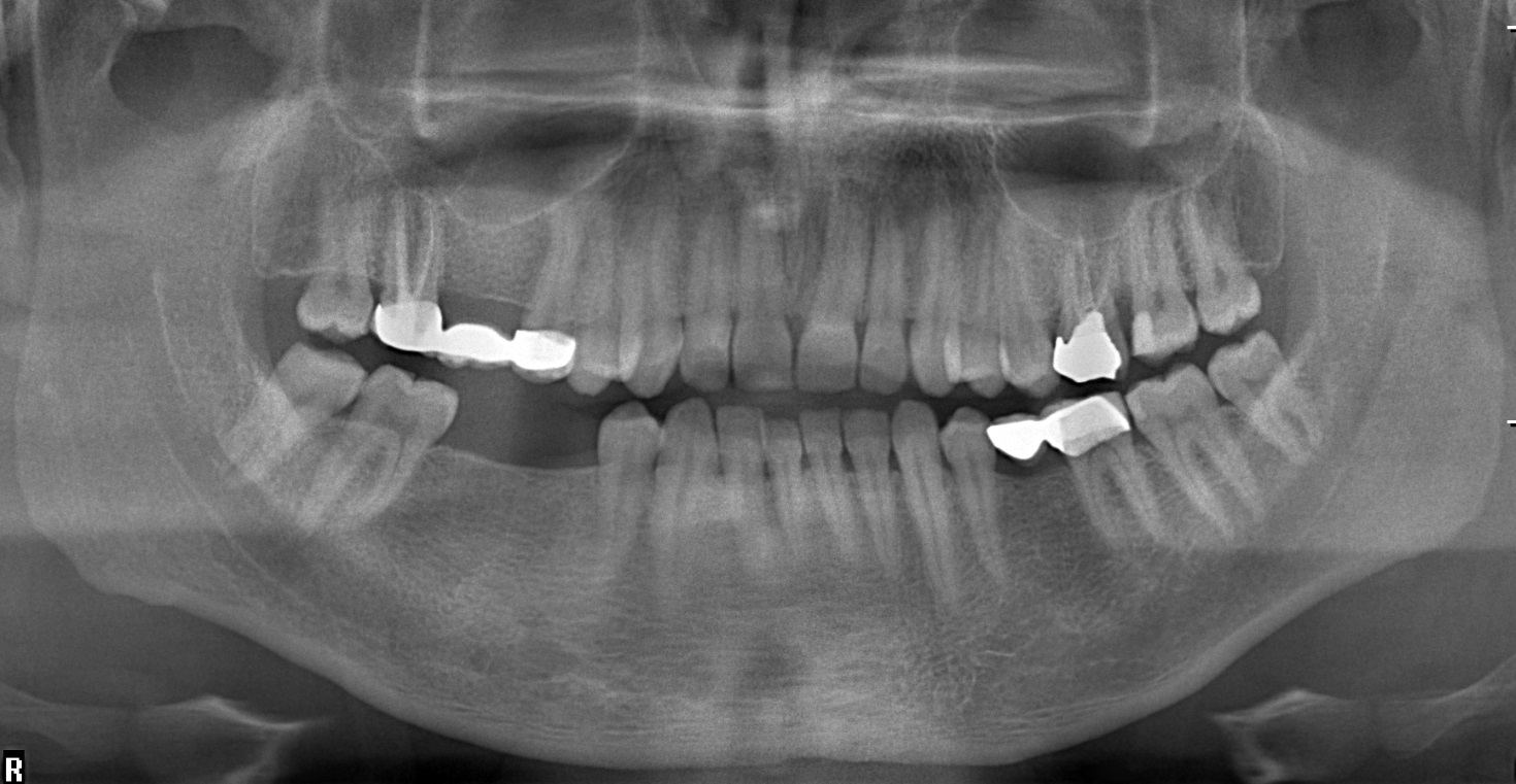
Before implanting (X-ray Photos)
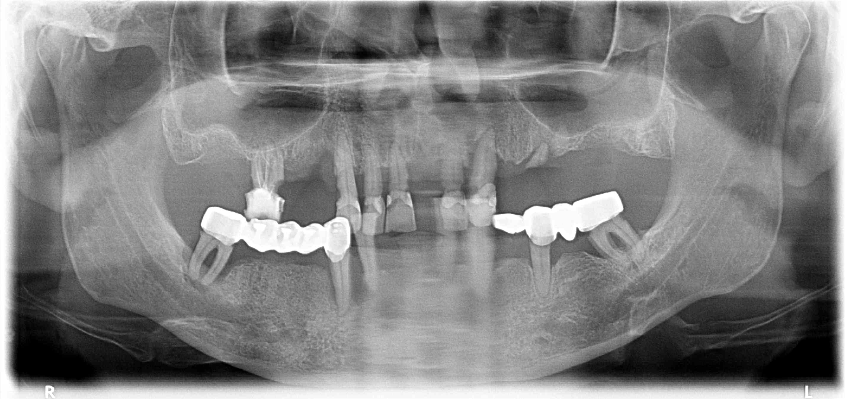
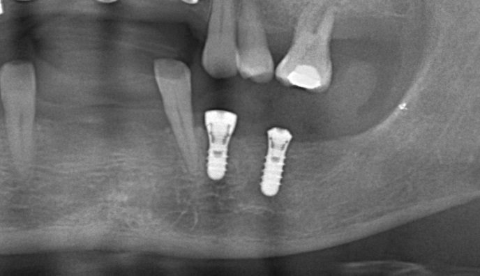
After implanting (X-ray Photos)
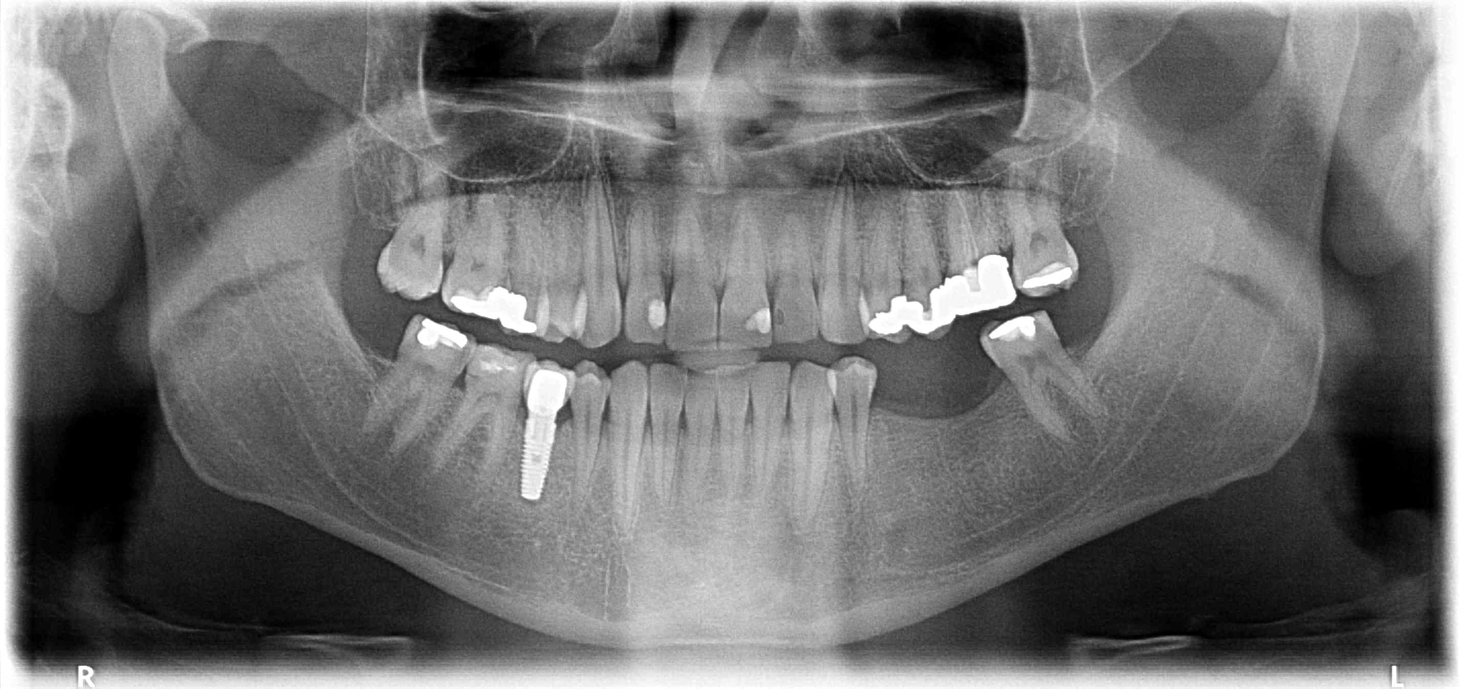
After Crown (X-ray Photos)
Dr.O.E.B
Male
42
Agu. 2012
Dr.O.E.B
Female
61
May. 2012
Dr.O.E.B
Male
39
Nov. 2011
Dr.O.E.B
Male
44
Jan. 2012
Dr.D.U
Male
58
Jun. 2014
Dr.D.U
Male
62
Apr. 2015
Dr.I.S
Male
62
Dec. 2017
Dr.I.S
Female
56
Sep. 2017
«
9
10
11
12
13
14
15
»